臨床研究検査科臨床研究検査科は診療に役立つ正確な検査情報をより早く提供できるよう日々努めています。
概要・方針
概要・方針
臨床検査とは
病気の診断、重症度、緊急性、治療方針や効果などを評価するために、身体や臓器のはたらきを調べる検査を臨床検査といいます。
当科の概要
当院臨床研究検査科は、広島西部地区の基幹病院検査室として、外来患者さんや入院患者さんなど全ての患者さんに対して、休日夜間も含め24時間30~60分で検査結果が出せる体制を整えています。
検査室は、大きく分けると検体検査と生理検査に分かれます。検体検査部門では早くから診察前検査を導入し、そのための業務の効率化とスピード化を図るために機器やシステム等で数々の工夫を取り入れています。生理検査部門では、洗練された技術を生かし臨床検査技師が直に受診者の皆さまと接して検査を行います。心電図、呼吸機能、脳波、神経伝導検査、超音波検査(心臓・血管、腹部,乳腺・甲状腺,泌尿器科領域など多岐にわたる)などの生理機能に関する検査を実施しています。
また、検査室外では、健康管理課が実施している健康診断業務に積極的に参画し、廿日市を中心とする住民健診、農協組合員の健診や職域検診等では皆様の所まで多職種チームで出かけています。
さらに、当検査室は農村研究所も兼ねており、研究室において最新の科学に立脚した研究が必要であるとの考えで、各種遺伝子検査や蛋白分析なども行っています。近年の成果としては、新型コロナウィルスで注目されたPCR検査等も2001年より実施しており、地域住民の皆様や患者様の安全安心な生活のために、早くから貢献できました。
最後に教育面では、今後の臨床検査界を背負う若手病院検査技師を育てるために日々努力を重ねています。また、各大学より年間十数名の実習生や見学を受け入れています。(ご希望の方は当院人事課・教育研修課までご連絡ください)
活動内容
業務内容
- 採血業務(検査のための採血)
- 生化学検査(肝機能、腎機能、糖質代謝、脂質検査等)
- 免疫検査(感染症検査、肝炎検査、ホルモン検査、腫瘍マーカー検査等)
- 血液検査(末梢血検査、凝固線溶検査、骨髄検査等)
- 一般検査(尿検査、便検査、体腔液検査、寄生虫検査等)
- 輸血検査(血液型検査、交差適合試験、不規則性抗体検査等)
- 細菌検査(一般細菌培養、結核菌培養、ウイルス検査、薬剤感受性試験、院内環境調査等)
- 生理学的検査(心電図検査、脳・神経機能検査、肺機能検査等)
- 超音波検査(心臓エコー、腹部エコー、乳腺エコー、膀胱エコー検査等)
- 特殊検査(遺伝子検査、蛋白分析、その他研究等)
- 健康管理課院内ドック、院外健診検査業務
- 手術室内検査(術中エコー、脳脊髄モニタリング等
- その他チーム医療参画
当科の特色
当科は昭和63年、中四国でもまだ珍しかった自動搬送ラインを導入しました。一本の検体搬送ラインに複数台の自動分析機を接続し、全体を一台の自動分析機として測定や管理を行うDACS(Differential-order Adaptive Conveyer System)です。現在使用中のものは4代目になり、外来受診患者様への待ち時間短縮サービスや早期診断の一助として活躍しています。
また平成9年、院内オーダリングシステムの導入に伴い、検査情報システム(LIS)を広島県内システム会社と共同開発し、当院の運用に合わせたLISを作り、現在も各種システム(検体検査システム、輸血システム、細菌システム、試薬管理システム、地域連携システム)が稼働し、精度の良い正確な結果を迅速に報告することに貢献しています。
生理検査では、検査で得られた患者様の種々のデータを,生理検査システム(2021年更新)で管理し,診断や治療に必要な精度の高いデータとして各診療科に提供する事を目的として業務を行っています。
検査データの保障
臨床検査の肝は検査結果が正確に測定されているかにあります。当科ではこのため外部調査の精度管理(検査結果を正しく出しているかの調査)や内部の精度管理など様々な手法で検査結果の正確さを検定しており、日本医師会・日本臨床検査学会・広島県医師会サーベイなど毎回高得点を取得し、(一般社団法人)日本臨床衛生検査技師会が認証する精度保証施設にも認定されています。
特殊検査分析室(遺伝子検査室)
遺伝子検査について
遺伝子関連検査は①病原体遺伝子検査 ②体細胞遺伝子検査 ③遺伝学的検査(生殖細胞系列遺伝子検査)に分類されますが、当院では主に①病原体遺伝子検査を行っています。病原体遺伝子検査とはヒトに感染症を引き起こす外来性の病原体(細菌・ウイルス)の核酸(DNAあるいはRNA)を検出・解析する検査です。当院ではCOVID-19流行早期から院内でSARS-CoV-2のPCR検査を開始し、現在でも感染対策に貢献しています。また、POT法の原理を利用した遺伝子解析を行い、その結果を感染対策チームに報告しています。今後は次世代シーケンサー(NGS)を利用して、ゲノム解析にも取り組んでいきます。
リアルタイムPCR装置と次世代シーケンサー
キャピラリー電気泳動装置
生理機能検査室
生理機能検査室では,検査で得られた患者さんのデータを生理検査システムで管理し,診断や治療に必要なデータとして臨床サイドに提供する事を目的に業務を行っています。
心電図検査
安静時心電図
心臓全体の電気的活動を波形に表したもので,不整脈や虚血性心疾患などの診断に用いられます。
運動負荷心電図検査(トレッドミル負荷試験)
主に虚血性心疾患の診断や心機能評価を目的として,ベルトコンベヤー状の検査装置の上を歩いたり走ったりし,心電図・血圧の変化や自覚・他覚症状の有無を比較評価するのに用いられます。
ホルター心電図検査
心電図を長時間(24時間)記録する事で,発作性の不整脈・狭心症などの検出や診断に用いられます。検査中も運動や食事制限は無く,日常生活を送っていただけます。また短時間ですが入浴も可能です。
イベントレコーダー
動悸・息切れ・めまい・胸痛などの症状はあるが,不定期で発生頻度が少ない患者さんに約2週間イベントレコーダーを貸し出します。症状を自覚した時,患者さんの指でイベントレコーダーの電極を押さえ心電図を記録してもらいます。
血管機能検査
血圧脈波検査(CAVI/ABI検査)
両腕・両足首に血圧カフを巻き,血圧と脈波を測定する検査です。血管年齢や動脈硬化の程度を数値として評価します。
皮膚組織灌流圧検査(SRPP検査)
レーザー光と血圧カフを使用して皮膚組織レベルの毛細血管の血流状態を評価する検査です。重症下肢虚血の重症度評価や難治性潰瘍の治癒予測に用いられます。
経皮的酸素ガス分圧測定(tcpO2)
皮膚に貼り付けた電極を温めて、皮膚から透過してくる酸素の圧を測定する検査です。主に下肢虚血の重症度診断や潰瘍治癒の可能性の予測、治癒効果の確認に役立ちます。
心肺運動負荷検査
心肺運動負荷試験(CPX検査)
心臓に疾患がある場合でも,心臓に負荷をかけすぎないで運動を長時間続けることができる運動耐容能力(持久力)を調べる検査です。心臓リハビリテーション時の運動処方作成や心不全における病態把握、治療効果の判定などに用いられます。
体成分検査
体成分測定検査(In Body検査)
体水分量,体脂肪量,筋肉量等の体成分を測定する検査です.ベッドに横になった状態で5分間安静にし,体水分を安定させてから検査を開始します.装着した電極から微弱な電流を流して測定する為,妊婦やペースメーカを装着されている患者さんは検査できません。
肺機能検査
肺機能検査
息を吸って吐き出す能力や,肺の内部で酸素と二酸化炭素を交換する力などを調べる検査です.喘息や慢性閉塞性肺障害(COPD),間質性肺疾患などの診断や早期発見に役立ちます。
呼吸抵抗検査
気道の状態を調べる検査です.安静な状態で呼吸を整えてから検査を行います.喘息や COPDのように,気道が狭くなる疾患では,呼吸をする時に空気が気道を通りにくくなります.この通りにくさの程度を,呼吸抵抗として波形と数値で評価します。
脳波・筋電図検査
脳波検査
脳内に流れる非常に微弱な電流を頭皮上に装着した電極を用いて波形として記録したものです。てんかん,脳腫瘍,脳血行障害,脳炎などの診断に用いられます。
神経伝導検査
手足が痺れる,物が持ちづらいなどの末梢神経異常が疑われる患者さんに行われる検査です。皮膚の上から末梢神経に電気刺激を与え,伝導速度や振幅(伝わる速さや強さ)を測定し,神経障害の有無や程度を評価します。末梢神経疾患や脊髄疾患などの診断,病態の把握に用いられます。
感覚機能検査
重心動揺検査
めまいなどの平衡障害を客観的に評価するための検査です。検出台の上で開眼・閉眼状態で各60秒間直立し,体の揺れの状態を総軌道距離や動揺面積等などで評価します。
電流知覚閾値検査(CPT)
神経障害の程度を調べる検査です。装着した電極から微弱な電流を流し感じる事のできる境界を調べます。
超音波検査
超音波検査
人間の耳には聞こえない高い周波数(超音波)を用いて,体内臓器を画像化する検査です。放射線を使用しないため,被爆の心配がありません。
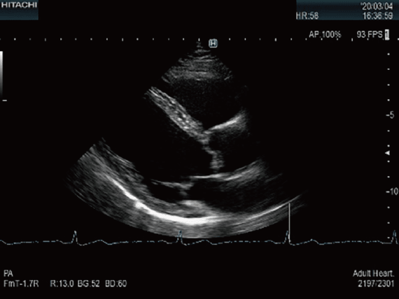
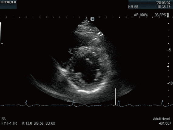
心臓超音波検査
胸部より超音波を照射し,動いている心臓の内部構造を描出し,心臓の動きを動画として観察する検査です。心臓弁膜症や虚血性心疾患,心筋症などの診断に用いられます。治療方法の選択や治療効果の判定,手術時期の決定などに役立ちます。
バルブカンファレンス
心臓血管外科医と循環器内科医,生理検査室スタッフで定期的にバルブカンファレンスを行い,臨床情報の共有と知識向上を目的として日々研鑽を積んでいます。
経食道超音波検査
食道に超音波プローブを挿入し,食道の中から動いている心臓の内部構造を描出し,心臓の動きを動画として観察する検査です。心房細動患者さんの左房内血栓の評価や,弁膜症を中心とする心臓手術全般の術前・術中評価に用いられます。
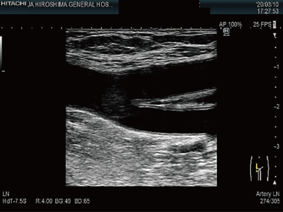
頸動脈超音波検査
胸頸部より超音波を照射し,頸動脈を観察する検査です。動脈硬化やプラークによる血管狭窄・閉塞などの評価に用いられます。
上肢・下肢血管超音波
上肢や下肢から超音波を照射し,動脈や静脈を観察する検査です。静脈では,エコノミークラス症候群に代表される静脈内血栓や静脈瘤の評価に用いられます。動脈では,動脈硬化の程度や血管狭窄・閉塞などの評価に用いられます。
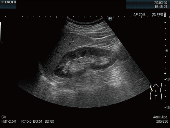
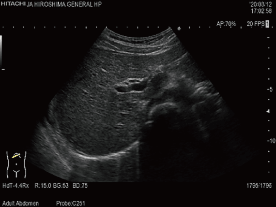
腹部超音波検査
腹部より超音波を照射して,肝臓・胆嚢・膵臓・脾臓・腎臓・大動脈などの腹腔内臓器を観察する検査です。各種臓器の腫瘍をはじめとして,結石,嚢胞,ポリープなどの発見や脂肪肝,肝炎,肝硬変などの各臓器の形態の評価に用いられます。
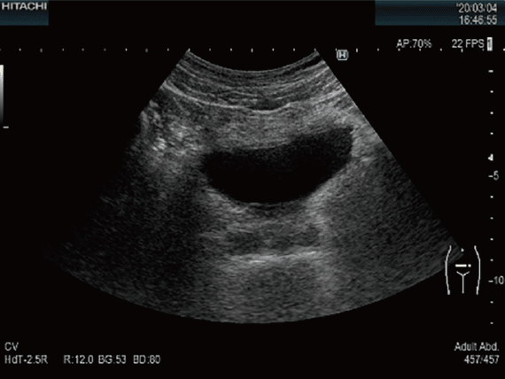
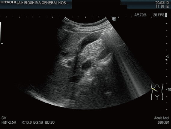
泌尿器超音波検査
腹部と背部より超音波を照射して,腎臓・副腎・膀胱・前立腺などの腹腔内臓器・骨盤内臓器を観察する検査です。各種臓器の腫瘍をはじめとして,結石,嚢胞などの発見や形態の評価に用いられます。
乳房超音波検査
乳房に超音波を照射し,乳腺を観察する検査です。乳腺内の腫瘍の有無や大きさ,リンパ節への転移の有無などの評価に用いられます。
甲状腺超音波検査
頸部より超音波を照射して,甲状腺を観察する検査です。甲状腺の大きさや腫瘍の大きさ・性状・位置などの評価に用いられます。
血液検査とは
血液検査室
血液の総量は体重の約1/13を占め、体重60Kgの成人では4.5~5ℓになります。血液検査室では血液の有形成分(血球)の検査と、液体成分(血漿)から凝固線溶検査などを行っています。
血液算定検査
2021年3月新たに多項目自動血球分析装置XNシリーズを導入し、血液算定検査を行っています。血液細胞(赤血球・白血球・血小板)の数と白血球分類、酸素と結合するヘモグロビンの量を同時に分析します。貧血は赤血球の数が減少することですが、同時に分析した赤血球の大きさやヘモグロビン量、網状赤血球を測定することにより、貧血の原因も検索します。 分析装置では白血球を好中球・リンパ球・単球・好酸球・好塩基球の5種に分類します。それぞれの血球は各種全身の疾患で増減し炎症や免疫状態を評価しています。
血液像検査
塗抹標本を作製して顕微鏡で血球形態を観察します。形態異常のある血球や幼若な細胞、白血病細胞などを検出し病態解析や血液疾患などの評価をします。機械では捉えることが出来ない異常を臨床検査技師が目でみて判定しています。
凝固線溶検査
塗血液の止血に関する検査は、凝固検査自動分析装置CP3000を2台体制で測定しています。 血漿には凝固線溶因子という血液が血管内で固まったり(凝固)出血したりしないように働く蛋白質が含まれます。凝固因子の働きを調べることで血液の固まりにくさ(出血傾向)や血栓を溶かす線溶因子の働きを調べることで血栓の出現を判定できます。また抗凝固薬の治療効果の確認や薬剤の投与量を決める検査でもあります。
その他
骨髄検査、血球沈降速度などの検査を実施しています。
輸血検査
輸血は、赤血球や血小板、凝固因子の機能が低下あるいは不足したときに、それらを補充する目的で行います。
当院の輸血検査は、ABOとRhDの血液型を調べる血液型検査とABO以外の血液型に対する抗体を調べる不規則抗体検査があります。そして、輸血を行う際には患者様の血液と輸血する血液製剤が適合するかどうかを確認する交差適合試験を行います。これらの検査に加え、血液製剤の発注・管理業務を365日24時間体制で実施し、安全で適正な輸血療法を行えるように尽力しています。
自動輸血検査装置ORTHO VISION Swift
(カイデルオーソ・クリニカル・ダイアグノスティックス株式会社
医師・スタッフ
医師のご紹介

-
糖尿病センター長
糖尿病・代謝内科 主任部長
内科専攻科 部長
臨床研究検査科 主任部長
一町 澄宜
Kiyotaka Itcho
- 資格
- 医学博士
- 一般社団法人日本内科学会 指導医・総合内科専門医
- 一般社団法人日本糖尿病学会 研修指導医・専門医
- 一般社団法人日本内分泌学会 内分泌代謝科指導医・専門医
- 臨床研修指導医

-
健康管理センター長
健康管理科 主任部長
臨床研究検査科 部長
碓井 裕史
Hirofumi Usui
- 資格
- 医学博士
- 日本医師会 認定産業医
- 公益社団法人日本人間ドック学会 人間ドック健診情報管理指導士

-
臨床研究検査科 部長(精度管理担当)
藤井 隆
Takashi Fujii
- 資格
- 医学博士
- 一般社団法人日本内科学会 認定内科医
- 一般社団法人日本循環器学会 循環器専門医
- 日本医師会 認定産業医
- 臨床研修指導医
- 一般社団法人日本内科学会 指導医
臨床検査は、診断および治療を決定するための重要な指標であり、医療を受ける方にとってどの施設で検査を受けても同じ結果が得られる事が求められています。これを管理するのが精度管理医です。当院循環器科における17年間の経験を生かし、臨床検査科と医師・看護師・コメディカル部門をつなぐ役割を担い、より精度の高い医療が行えるように尽力いたしたいと思います。
スタッフのご紹介
| 肩書 |
名前 |
| 科長 |
小松 浩基 |
| 科長補佐(検体検査) |
本田 智洋 |
| 主任(血液・輸血) |
荒瀬 美幸 |
| 主任(生理検査) |
藤岡 朋子 |
| 主任(生理検査) |
霜津 宏典 |
| 主任(一般・微生物) |
池田 光泰 |
| 副主任(血液・輸血) |
岡田 未来依 |
| 副主任(血液・輸血) |
村田 竜也 |
| 副主任(生理検査) |
嶋田 恵美 |
| 副主任(生理検査) |
北村 紀恵 |
| 副主任(生化・免疫) |
丸山 恭平 |
| 臨床研究検査科の構成 |
人数 |
| 臨床検査技師 |
47名 (臨時職員3名含む) |
| 事務 |
1名 |
| 助手 |
2名 |
取得資格
| 資格名 |
歯学博士 |
| 認定管理検査技師 |
| 認定輸血検査技師 |
| 認定臨床化学者 |
| 認定血液検査技師 |
| 認定一般検査技師 |
| 認定心電検査技師 |
| 認定心電図専門士 |
| 認定認知症領域検査技師 |
| 感染制御認定臨床微生物検査技師(ICMT) |
| 日本糖尿病療養指導士 |
| 日本臨床神経生理学会認定技術師 |
| 認定臨床化学・免疫化学精度保証管理検査技師 |
| 医療情報技師 |
| 医療環境管理士 |
| 血管診療技師 |
| 超音波検査士(循環器・泌尿器・健診領域) |
| 乳がん検診超音波検査実施技師 |
| 遺伝子分析科学認定士 |
| POCコーディネーター |
| POCT測定認定士 |
| 日本上級バイオ技術者 |
| 聴力測定技術者 |
| DMAT隊員 |
| 緊急臨床検査士 |
| 二級臨床検査士(血液、循環生理、神経生理、呼吸生理、微生物、免疫血清、臨床化学) |
| 第1種衛生管理者 |
| 衛生工学衛生管理者 |
| 毒物劇物取扱責任者 |
| 危険物取扱者 |
| 特別管理産業廃棄物管理責任者 |
所属学会
| 学会名 |
日本臨床衛生検査技師会 |
| 広島県臨床検査技師会 |
| 日本臨床化学会 |
| 日本認知症予防学会 |
| 日本検査血液学会 |
| 日本輸血・細胞治療学会 |
| 日本臨床微生物学会 |
| 日本感染症学会 |
| 日本化学療法学会 |
| 日本嫌気性菌感染症学会 |
| 日本微生物迅速診断研究会 |
| 日本超音波検査学会 |
| 心エコー図学会 |
| 日本不整脈心電学会 |
| 日本臨床神経生理学会 |
| 日本医療情報学会 |
| 日本臨床救急医学会 |
| 日本消化器内視鏡学会 |
検査を受けに来られた方へ
採血時の注意点
中央採血室では受付が必要です。自動受付機で受付を行い「採血室整理券」をお持ちください。
生理検査を受ける時の注意点
予約検査について
基本、予約時間での検査になります。 緊急検査などが入った場合は、検査開始時間の遅れが発生する事があります。 ご理解いただきますよう宜しくお願いいたします。
安静心電図検査
手首・足首・胸に電極を装着するため、ストッキングや締め付けの強い服装はお控え下さい。
肺機能検査
口で息を胸いっぱい吸ったり、勢いよく吐き出したりする検査のため、検査中の指示に従ってご協力をお願いします。
脳波検査
検査前日はよく洗髪し、当日は整髪料などをつけないようにして下さい。睡眠脳波を記録するため、検査当日は寝不足気味でお越しください。
その他、疑問な点や質問などがございましたら、遠慮なくスタッフにおたずねください。