
2016年10月よりGEヘルスケア社製のCT装置〝256列Revolution CT″が稼働を開始しました。中国地方では2台目の装置で、従来のCT装置よりもグレードアップした機能を搭載しています。
特長〈1〉撮影時間の短縮
これまでの64列CTでは1回転して撮影できる範囲が4cmだったのに対し、256列Revolution CTでは4倍の16cmが撮影可能となりました。これにより撮影時間が大幅に短縮され、頭部撮影で1秒、胸部から骨盤部撮影であれば4秒以内で撮影できます。

この特徴を生かした検査のひとつに心臓CT検査があります。 64列CTでは心臓全体を4回転(7秒)で撮影していましたが、256列Revolution CTでは、心臓全体を1回転(0.28秒)で撮影することができます。
これにより心拍変動による血管のズレが解消され、つなぎ目のない鮮明な画像を得ることが出来ます。

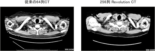
特長〈2〉放射線量が少なくても高画質
256列Revolution CTには少ない放射線量でも高品質の画像を得ることができる機能があります。同じ少ない放射線量で画像を比較した場合、従来の64列CTより256列Revolution CTの方が、きれいな画像を得ることができます。

また、放射線の影響を受けやすい領域への被ばくを下げる機能(ODM)も搭載されています。 例えば、眼の水晶体へODM(ピンク色)を設定した場合には、画像クオリティーを下げることなく、最大で約30%の放射線量を自動で減らすことができます。

なお、当院では全てのCT検査において被ばく線量低減に努めております。
特長〈3〉開口部(トンネル)が広くなって静かです
これまでのCT装置より開口径(トンネルの直径)が10cm広くなり、患者様に圧迫感を与えることなく検査がスムーズに行えるようになりました。
また、撮影中の音がウイスパードライブという機構によって静かになっています。

当院では、これらの特徴を有した256列Revolution CTと既存の64列CTを駆使し、最先端医療画像を提供することで画像診断に役立てています。
大分類
小分類

-
Recruit
職員・研修医 採用情報
広島西部地区の医療を一緒に支えてくれる仲間を募集しています。私たちと一緒に働きませんか。
一覧を見る



