急性冠症候群は、不安定狭心症、急性心筋梗塞、心臓突然死を病気の発生原因をもとにまとめた概念です。急性冠症候群は、動脈硬化により心臓に酸素と栄養を供給している冠動脈の壁内に脂質の塊(プラーク)ができ、プラーク表面を覆う薄い膜(被膜)が突然、破れプラークの内容物が血液に触れて冠動脈内に血の塊(血栓)ができ、冠動脈の血流が少なくなる、または血管が閉塞することによって起こります。心筋の虚血に伴って強い胸痛を生じ死に至ることもある危険な状態です。
心臓の検査には、心電図、心エコー、冠動脈造影、シンチグラフィー、MRI、CTなどの検査が行われていますが、冠動脈の形状を直接調べられる検査は、冠動脈造影、心臓MRI、心臓CTのみです。今回は、当院で行っている心臓CT検査について述べます。

心臓CT検査
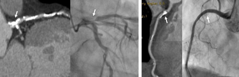
心臓CTは、冠動脈造影に匹敵する詳細な画像が得られ、プラークによる冠動脈の狭窄や閉塞の診断ができます。さらに、急性冠症候群の原因となる冠動脈の壁性状の評価も可能で治療方針の決定に役立っています。

心臓CT検査の利点(冠動脈造影検査、心臓MRI検査と比較)
- 冠動脈造影検査のように入院の必要がなく、外来で行える。
- 検査時間が短い(撮影時間は10秒前後で、全検査時間は15分間)。
- MRIのような騒音がない。
- 冠動脈造影やMRIでは評価できない冠動脈の壁性状が評価できる。
心臓CT検査の欠点(冠動脈造影検査、心臓MRI検査と比較)
- 造影剤を使用する必要がある(冠動脈のMRIでは造影剤は不要)。
- 放射線被ばくがある(MRIでは放射線被ばくはない)。
- 心拍数の多い症例では、静止した冠動脈がきれいに撮影できない場合がある。
- 冠動脈の石灰化が強い場合、心臓CTで狭窄の有無の判定は困難である(下図参照)。

心臓CT検査に関する患者様への注意事項
- 検査には造影剤を使用しますので、造影剤に関する問診と同意書を書いて頂きます(腎機能が悪い場合は、造影剤の使用ができない場合があります)。
- 心臓CTでは静止した画像を得るために、心電図の電極を胸部に貼り付けます。
- 心臓CTで冠動脈を正確に評価する(きれいな像を得る)ために脈拍数を下げて検査に臨むことが必要です。安静時の脈拍が65回/分を超える方は検査1時間前に来院して脈拍を減らす薬(βブロッカー)を飲んでいただいています(喘息治療中の方は使用できません)。飲み薬でも心拍数が下がらない場合には、静脈注射薬にて心拍数を下げる場合があります(極めて短時間でその作用はなくなります)。
- 冠動脈の細い血管まで描出するために、撮影直前に冠動脈を拡張させる薬(ニトログリセリン)を舌下に噴霧します(血圧が低い場合は使用しません)。
当院では、現在まで4700症例(2005年5月~2013年1月)の心臓CT検査を行っていますが、重篤な副作用例はありません。検査中はスタッフが様子観察を行い、安全な検査が出来るように体制整備を整えていますので、安心して検査をお受け下さい。
大分類
小分類

-
Recruit
職員・研修医 採用情報
広島西部地区の医療を一緒に支えてくれる仲間を募集しています。私たちと一緒に働きませんか。
一覧を見る



